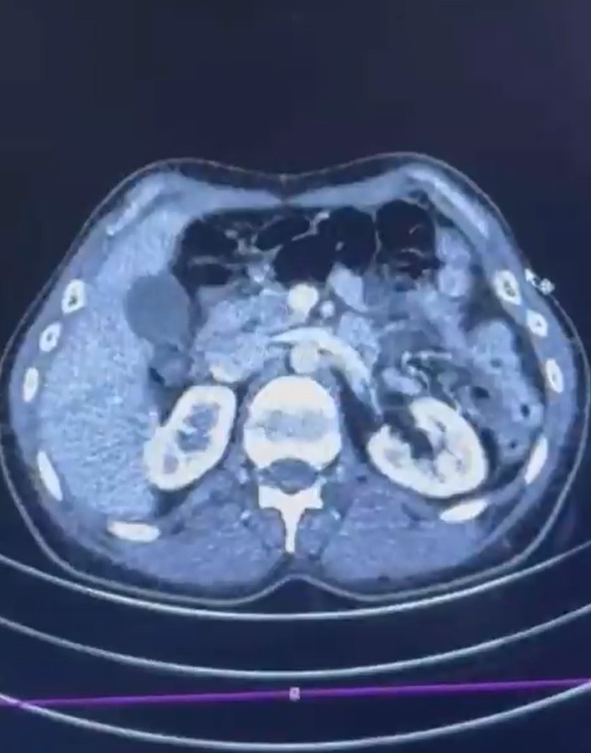
Kayseri İl Emniyet Müdürlüğü ekiplerince yapılan çalışmalarda İran'dan Türkiye'ye gelen şüphelilerin midesinde kapsül şeklinde yarım kilo uyuşturucu madde ele geçirildi.
Edinilen bilgiye göre Narkotik Suçlarla Mücadele Şube Müdürlüğü ekiplerince uluslararası uyuşturucu madde ticareti yapan kurye şahıslara yönelik gerçekleştirilen çalışmalarda, İran’dan Türkiye'ye uyuşturucu madde getirdiği tespit edilen şüpheli şahısların yakalanması amacıyla operasyon düzenlendi. Düzenlenen operasyonda; S.C., R.B.C. ve G.M. yakalandı. S.C. ve R.B.C.'nin Kayseri Şehir Hastanesi'nde yapılan iç beden muayenelerinde, mide kısımlarında bulunduğu tespit edilen 50 adet kapsül şeklinde toplam 554 gram uyuşturucu madde ele geçirildi. Şüpheliler gözaltına alınarak haklarında 'Uyuşturucu Madde Ticareti Yapmak' işlem başlatıldı.
Kayseri İl Emniyet Müdürlüğü'nden yapılan açıklamada; "Uyuşturucu ve uyarıcı madde satıcılarına karşı yürüttüğümüz mücadele aralıksız ve kararlı bir şekilde devam edecektir" denildi.
Edinilen bilgiye göre Narkotik Suçlarla Mücadele Şube Müdürlüğü ekiplerince uluslararası uyuşturucu madde ticareti yapan kurye şahıslara yönelik gerçekleştirilen çalışmalarda, İran’dan Türkiye'ye uyuşturucu madde getirdiği tespit edilen şüpheli şahısların yakalanması amacıyla operasyon düzenlendi. Düzenlenen operasyonda; S.C., R.B.C. ve G.M. yakalandı. S.C. ve R.B.C.'nin Kayseri Şehir Hastanesi'nde yapılan iç beden muayenelerinde, mide kısımlarında bulunduğu tespit edilen 50 adet kapsül şeklinde toplam 554 gram uyuşturucu madde ele geçirildi. Şüpheliler gözaltına alınarak haklarında 'Uyuşturucu Madde Ticareti Yapmak' işlem başlatıldı.

Kayseri İl Emniyet Müdürlüğü'nden yapılan açıklamada; "Uyuşturucu ve uyarıcı madde satıcılarına karşı yürüttüğümüz mücadele aralıksız ve kararlı bir şekilde devam edecektir" denildi.












